الصحة
-
تصريح محبط من “الصحة العالمية” خيّب آمال الملايين: لقاح كورونا لن يتوافر قبل منتصف 2021
(مكة) – مكة المكرمة مع ترقب عدة دول لموعد ظهور اللقاح المنشود ضد كورونا، مع تزايد أعداد المصابين، خرجت منظمة…
أكمل القراءة » -
مبادرة أطفال ضد كورونا الأولى على مستوى المملكة
مكة – جمعان البشيري في مبادرة مجتمعية فردية تستهدف الأطفال و هي الأولى من نوعها على مستوى المملكة بل والعالم…
أكمل القراءة » -
مبادرة “أطفال ضد كورونا ” الأولى على مستوى المملكة
(مكة) – جمعان البشيري في مبادرة مجتمعية فردية تستهدف الأطفال و هي الأولى من نوعها على مستوى المملكة بل والعالم…
أكمل القراءة » -
وزير الصحة يستعرض خطط تطوير القطاع الصحي في محافظة العلا
(مكة) فوزية الفواز _ الرياض _ أكد معالي وزير الصحة لدكتور توفيق الربيعة على اهمية تطوير القطاع الصحي في محافظة…
أكمل القراءة » -
وزير الصحة يستعرض خطط تطوير القطاع الصحي في محافظة العلا
أكد معالي وزير الصحة الدكتور توفيق بن فوزان الربيعة أهمية تطوير القطاع الصحي في محافظة العلا بما يتواكب مع جهود…
أكمل القراءة » -
صحة الرياض تضبط أكثر 9 آلاف حبة من الأدوية المخدرة والخاضعة للرقابة
(مكة) فوزية الفواز _ الرياض _ بمتابعة مدير عام الشؤون الصحية بمنطقة الرياض الدكتور حسن بن علي الشهراني أعلنت صحة…
أكمل القراءة » -
مستشفى الملك خالد بالخرج يحصل على اعتماد برنامج دبلوم تمريض الرعاية المنزلية
(مكة) فوزية الفواز _ الرياض _ بمتابعة مدير عام الشؤون الصحية بمنطقة الرياض الدكتور حسن بن علي الشهراني حصل قسم…
أكمل القراءة » -
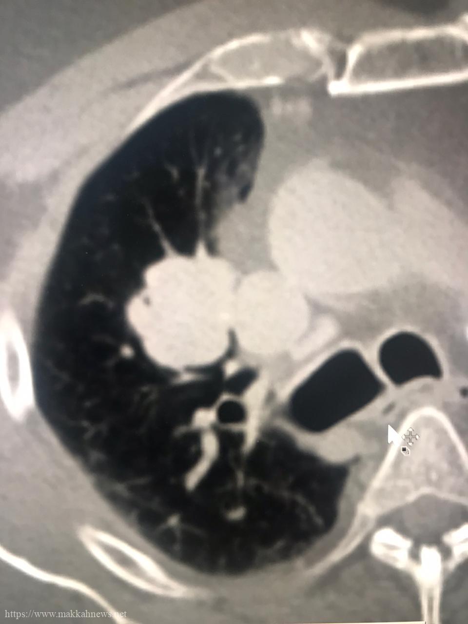
الاشعة التداخلية بطبية مكه تنهي معاناة خمسيني من ورم ممتد بالرئه بتقنية المايكروويف الموجه
نجح فريق طبي بمدينة الملك عبدالله الطبية بالعاصمة المقدسة ممثلا بقسم الاشعة التداخلية بفضل من الله من إنهاء معاناة مريض…
أكمل القراءة » -
الصحة والبريد توقعان اتفاقية ” البريد الدوائي”
وقعت وزارة الصحة ومؤسسة البريد السعودي اتفاقية توصيل الأدوية لمنازل المرضى التابعين لمستشفيات وزارة الصحة ومراكزها الصحية استمرارا لتطوير العلاقة…
أكمل القراءة » -
القرني خشونة الركبة تؤدي إلى إستبدال المفصل في مستواها الأخير
(مكة) فوزية الفواز _ الرياض _ كشفت دراسة علمية أن المرضى الذين يعانون من خشونة الركبة ينحني جذعهم للامام أكثر…
أكمل القراءة »