الصحة

مستشفى الملك عبدالعزيز بمكة ينجح في انقاذ حياة مصاب من الوفاة الدماغية

(مكة) – فوزية الفواز

نجح فريق جراحة المخ والأعصاب بمستشفى الملك عبدالعزيز بمكة، عضو التجمع الصحي بمكة المكرمة – بفضل من الله – والامكانيات المتوفرة من انقاذ حياة مصاب يبلغ من العمر ١٤ عاماً من الوفاة الدماغية .

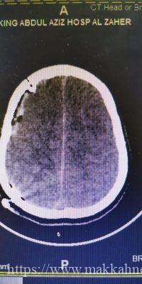
أوضح استشاري ورئيس قسم جراحة المخ والأعصاب، قائد الفريق الطبي الدكتور زهير هوساوي، أن المريض حضر لقسم الطواري والحوادث وهو يعاني من اصابة مباشرة في الدماغ وفقدان الوعي كاملاً اثر حادث مروري وبعد اجراء الفحوصات والاشعه اللازمة تبين وجود نزيف سطحي مع ضغط على جذع الدماغ مع بوادر الوفاة الدماغية وعلى إثر ذلك تم تجهيز المريض في قسم الطوارى الى غرفة العمليات خلال ١٥ دقيقة واجريت العمليه للمريض بمشاركة الفريق الطبي المكون من د. محمد المشد جراح مخ واعصاب ود. هاني محبوب اخصائي جراحة مخ واعصاب ود. عبدالرحمن الصائغ طبيب جراحة المخ والاعصاب ود. علي الغامدي استشاري تخدير حيث تمت إزالة النزيف عن طريق المايكرسكوب الجراحي والمحافظه على انسجة الدماغ بتقنية التبريد الدماغي خلال العملية التي استغرقت ساعتين وتمت مرافقة المريض في العناية المركزه لمدة ٢٤ ساعه وبعد اجراء العملية بثلاثه ايام خرج المريض من المستشفى وهو بصحه جيده ولله الحمد


من جهته أعتبر مساعد مدير المستشفى للخدمات الطبية الدكتور عبده البارقي هذا الإنجاز الطبي دليل وأضح على ما يضمه هذا الصرح الطبي في مكة المكرمةً من كوادر طبية مؤهلة علميا وعمليا، موكداً أن قسم جراحة المخ والاعصاب بالمستشفي من الاقسام الرائدة في هذا المجال وذلك بسبب الدعم الذي يحظى به المستشفي من حكومتنا الرشيدة التي تسعى دائماً في توفير كل الإمكانيات في سبيل تقديم أفضل الرعاية الطبية للمواطنين والمقيمين وضيوف بيت الله الحرام.

مقالات ذات صلة

اترك تعليقاً

لن يتم نشر عنوان بريدك الإلكتروني. الحقول الإلزامية مشار إليها بـ *

زر الذهاب إلى الأعلى