
جدة – تمكن فريق طبي جراحي من إزالة جسم غريب علق في مرئ طفلة تسبب لها في مضاعفات صحية خطيرة .
وقالت صحة جدة أن الطفلة تبلغ من العمر 8 شهور حضرت إلى طوارىء مستشفى الملك عبدالعزيز و هي تعاني من جفاف شديد و صعوبه في البلع و نقص في الشهية و بكاء مستمر منذ ٥ أيام .
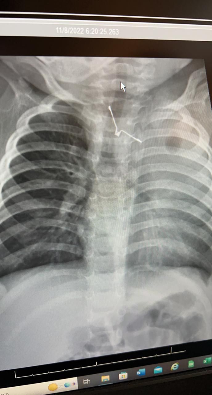
و أكدت أن الفريق الطبي المشرف على الحالة قام على الفور بعمل التحاليل و الاشعات اللازمة و إدخال الطفلة لغرفة العمليات بصفه عاجلة و ذلك لإكتشاف جسم معدني حاد الاطراف بلعته الطفله و بقي عالقاً في المرىء مسبباً لها مضاعفات صحية خطيرة خصوصاً لو تم تحريكه بأي طريقه خاطئه ، حيث نجح الفريق الطبي في مده زمنية تقارب الـ ( 4 ) ساعات من اخراج الجسم الغريب بالمنظار و بحذر شديد حتى لا تصاب الأنسجة المحيطة به بأي جروح ، و تتمتع المريضة بصحة جيدة تحت العناية المكثفة لإكمال فترة الشفاء .







